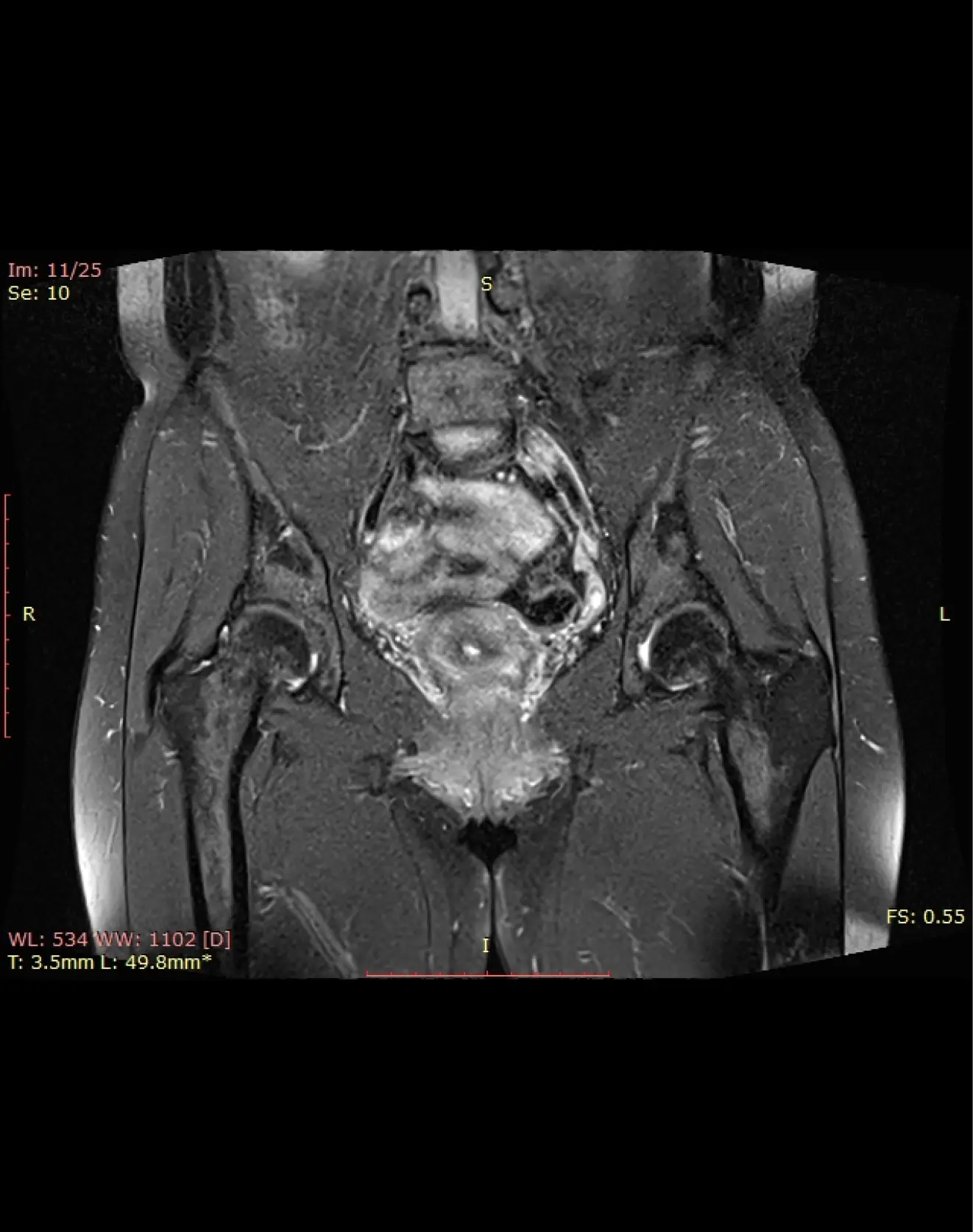
МРТ тазобедренного сустава (пара)

Визуализация костей тазобедренного сустава, суставная губа, суставная капсула, параартикулярные ткани.

 

Показания:

— Боли, ограничение подвижности

— Дегенеративные и воспалительные изменения суставов (артрозы, артриты)

— Травматические повреждения элементов сустава

— Повреждения связок, сухожилий

— Особенности развития


Полезная информация

1. Подготовка
2. Укладка на томограф
3. Сканирование
4. Контраст
5. Получение результатов
6. Общие рекомендации