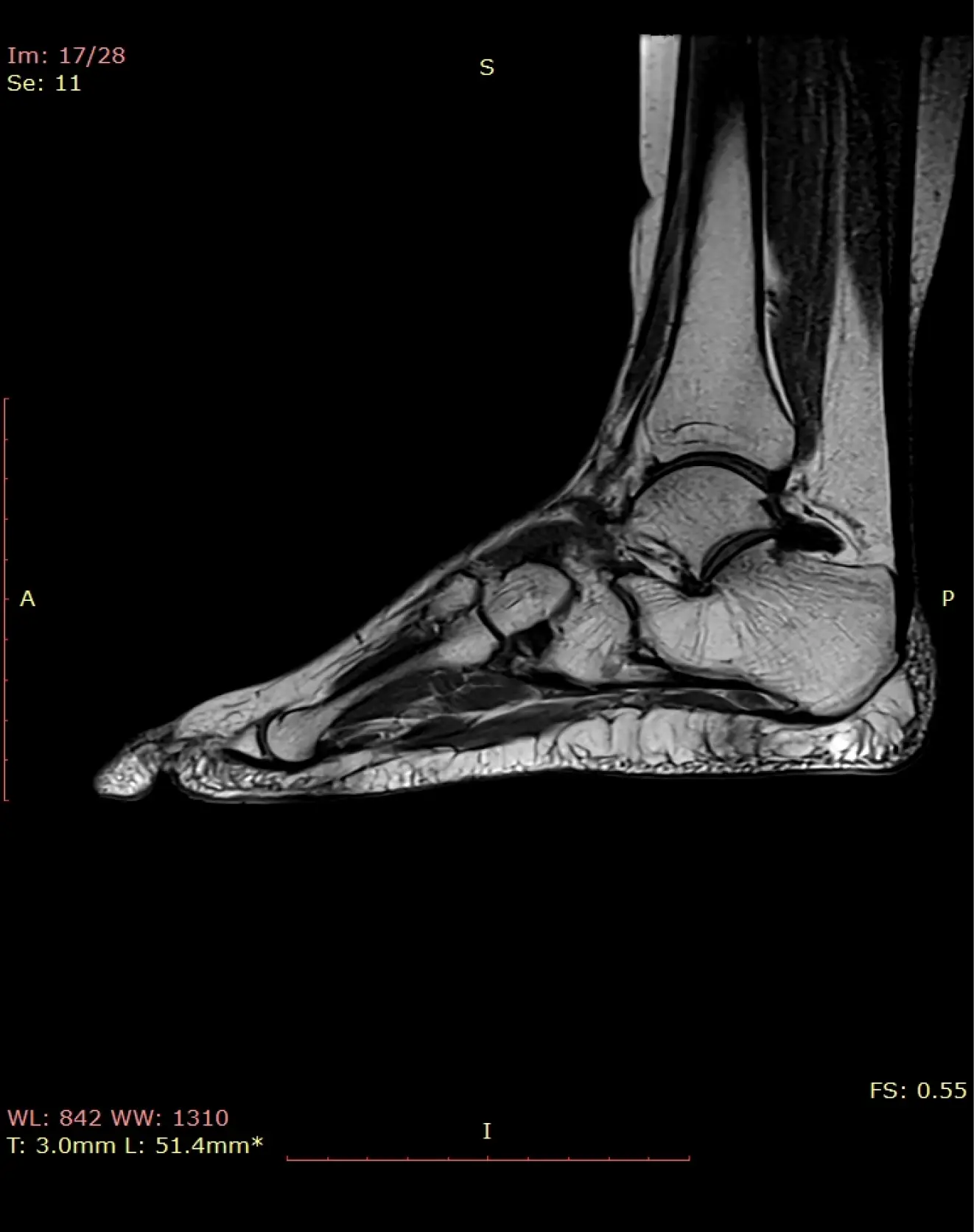
МРТ голеностопного сустава

Визуализация костей голеностопного сустава, сухожилий, связок, регионарных мышц.

 

Показания:

— Боли, ограничение подвижности

— Дегенеративные и воспалительные изменения суставов (артрозы, артриты)

— Травматические повреждения элементов сустава

— Повреждения связок, сухожилий

Полезная информация

1. Подготовка
2. Укладка на томограф
3. Сканирование
4. Контраст
5. Получение результатов
6. Общие рекомендации